Advertisement

Sickle Cell / : Hemoglobin is a protein in red blood cells that carries oxygen.

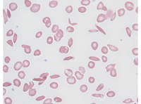
Sickle Cell / : Hemoglobin is a protein in red blood cells that carries oxygen.. Homozygous sickle cell anemia (hbss, autosomal recessive) is the most common variant of the sickle cell syndromes and occurs. Sickle cell disease (scd) and its variants are genetic disorders resulting from the presence of a mutated form of hemoglobin, hemoglobin s (hbs) 1, 2 (see the image below). Instead, they clog blood vessels. Adults with sickle cell disease should still be considered 'clinically extremely vulnerable' and follow government guidance about shielding. These sickle shaped cells get stuck together easily, and block off small blood vessels.

Sickle cell disease is an umbrella term used to describe a group of genetic diseases that affect the body's hemoglobin. These sickle shaped cells get stuck together easily, and block off small blood vessels. Sickle cell disease is the most common inherited blood disorder in the united states. Sickle cell anemia (sca) is the most common and most severe form of sickle cell disease (scd), a group of inherited blood disorders caused by a genetic mutation. They block the flow of blood and cut off the oxygen supply to tissues and organs.

World Sickle Cell Day Friday 19th June 2020 Sickle Cell Society
World Sickle Cell Day Friday 19th June 2020 Sickle Cell Society from www.sicklecellsociety.org
Sickle cell trait describes a condition in which a person has one abnormal allele of the hemoglobin beta gene (is heterozygous), but does not display the severe symptoms of sickle cell disease that occur in a person who has two copies of that allele (is homozygous). Sickle cell anemia is more common among people of certain ancestries, including those of african, caribbean, middle eastern, eastern mediterranean, and asian descent. This is a subreddit for sickle cell sufferers. The presence of two sickle cell genes (ss) is needed for sickle cell anemia. Sickle cell disease (scd) is a common inherited blood disorder in the united states, affecting an estimated 70,000 to 100,000 americans. Homozygous sickle cell anemia (hbss, autosomal recessive) is the most common variant of the sickle cell syndromes and occurs. If you have scd, there is a problem with your hemoglobin. Sickle cell disease causes and risk factors.

This is a subreddit for sickle cell sufferers.

Sickle cell anemia, hereditary disease that destroys red blood cells by causing them to take on a rigid 'sickle' shape. Scd can lead to lifelong disabilities and reduce average life. Compared to other biological conditions there is a significant lack of information and resources. The defect forms abnormal hemoglobin. Sickle cell disease (anemia) symptoms, genetics, diagnosis, treatment, and life expectancy. This mutation affects the body's. Sickle cell disease (scd) is a common inherited blood disorder in the united states, affecting an estimated 70,000 to 100,000 americans. Sickle cell disease causes and risk factors. Sickle cell disease association celebrates national sickle cell awareness month conferences, advocacy, blood donations and other events held throughout september hanover Sickle cell disease is the most common inherited blood disorder in the united states. Sickle cell anemia (sca) is the most common and most severe form of sickle cell disease (scd), a group of inherited blood disorders caused by a genetic mutation. Sickle cell anemia is more common among people of certain ancestries, including those of african, caribbean, middle eastern, eastern mediterranean, and asian descent. Sickle cell trait describes a condition in which a person has one abnormal allele of the hemoglobin beta gene (is heterozygous), but does not display the severe symptoms of sickle cell disease that occur in a person who has two copies of that allele (is homozygous).

The term sickle cell disease is preferred to sickle cell anemia for the name of the condition, not least because the former term reflects the fact that the condition has multisystem effects, rather than just a. Sickle cell anemia is one of a group of inherited blood disorders marked by flawed hemoglobin, the protein molecule in red blood cells that carries oxygen from the lungs to the tissues in the body. Instead, they clog blood vessels. Sickle cell disease is the most common inherited blood disorder in the united states. Sickle cell disease (scd) is a common inherited blood disorder in the united states, affecting an estimated 70,000 to 100,000 americans.

Tracing Sickle Cell Back To One Child 7 300 Years Ago Bbc News
Tracing Sickle Cell Back To One Child 7 300 Years Ago Bbc News from ichef.bbci.co.uk
Sickle cell anemia (sca) is the most common and most severe form of sickle cell disease (scd), a group of inherited blood disorders caused by a genetic mutation. The presence of two sickle cell genes (ss) is needed for sickle cell anemia. Learn about sickle cell disease, also called sickle cell anemia, and its causes, who is at risk, early symptoms, ways to manage complications, nhlbi research, and how to participate in clinical trials. Adults with sickle cell disease should still be considered 'clinically extremely vulnerable' and follow government guidance about shielding. This mutation affects the body's. The inset shows a cross section of a normal red blood cell with normal haemoglobin. Sickle cell disease (anemia) symptoms, genetics, diagnosis, treatment, and life expectancy. Hemoglobin is a protein in red blood cells that carries oxygen.

Sickle cell anemia (sickle cell disease) is a blood disease that shortens life expectancy.

They block the flow of blood and cut off the oxygen supply to tissues and organs. Sickle cell disease is the most common inherited blood disorder in the united states. Hemoglobin is a protein in red blood cells that carries oxygen. Sickle cell anemia (sickle cell disease) is a blood disease that shortens life expectancy. These sickle shaped cells get stuck together easily, and block off small blood vessels. Sickle cell disease (scd) is a group of inherited red blood cell disorders. Sickle cell disease (anemia) symptoms, genetics, diagnosis, treatment, and life expectancy. Sickle cell anemia is one of a group of inherited blood disorders marked by flawed hemoglobin, the protein molecule in red blood cells that carries oxygen from the lungs to the tissues in the body. Instead, they clog blood vessels. In sickle cell disease, the hemoglobin is abnormal, causing the red blood cells to be rigid and shaped like a c or sickle, the shape from which the disease takes its name. If you have scd, there is a problem with your hemoglobin. Sickle cell trait describes a condition in which a person has one abnormal allele of the hemoglobin beta gene (is heterozygous), but does not display the severe symptoms of sickle cell disease that occur in a person who has two copies of that allele (is homozygous). Adults with sickle cell disease should still be considered 'clinically extremely vulnerable' and follow government guidance about shielding.

The inset shows a cross section of a normal red blood cell with normal haemoglobin. Sickle cell disease (scd) is a group of inherited red blood cell disorders. Figure (a) shows normal red blood cells flowing freely through veins. Sickle cell disease is a condition in which red blood cells are not shaped as they should be. The defect forms abnormal hemoglobin.

Sickle Cell Disease Wikipedia
Sickle Cell Disease Wikipedia from upload.wikimedia.org
Hemoglobin is a protein in red blood cells that carries oxygen. Sickle cell disease (scd) is a common inherited blood disorder in the united states, affecting an estimated 70,000 to 100,000 americans. The defect forms abnormal hemoglobin. Learn about sickle cell disease, also called sickle cell anemia, and its causes, who is at risk, early symptoms, ways to manage complications, nhlbi research, and how to participate in clinical trials. Sickle cell disease (anemia) symptoms, genetics, diagnosis, treatment, and life expectancy. Sickle cell disease causes and risk factors. Sickle cell disease is an umbrella term used to describe a group of genetic diseases that affect the body's hemoglobin. The inset shows a cross section of a normal red blood cell with normal haemoglobin.

Adults with sickle cell disease should still be considered 'clinically extremely vulnerable' and follow government guidance about shielding.

Figure (a) shows normal red blood cells flowing freely through veins. What is sickle cell anemia? Sickle cell disease is the most common inherited blood disorder in the united states. Sickle cell anemia (sca) is the most common and most severe form of sickle cell disease (scd), a group of inherited blood disorders caused by a genetic mutation. Sickle cell anemia (sickle cell disease) is a blood disease that shortens life expectancy. Sickle cell disease (scd) and its variants are genetic disorders resulting from the presence of a mutated form of hemoglobin, hemoglobin s (hbs) 1, 2 (see the image below). The term sickle cell disease is preferred to sickle cell anemia for the name of the condition, not least because the former term reflects the fact that the condition has multisystem effects, rather than just a. Sickle cell anemia, hereditary disease that destroys red blood cells by causing them to take on a rigid 'sickle' shape. Sickle cell disease (anemia) symptoms, genetics, diagnosis, treatment, and life expectancy. They block the flow of blood and cut off the oxygen supply to tissues and organs. This is a subreddit for sickle cell sufferers. Sickle cell syndromes are hereditary hemoglobinopathies. Sickle cell disease describes a group of inherited blood disorders characterized by chronic anemia, painful events, and various complications due to associated tissue and organ damage.

Post a Comment

0 Comments